Dr. Shreya Shivangi

Root Canal Specialist, Smile Design Specialist, Laser Dentistry Specialist and Sleep Apnea Management Specialist Root Canal Specialist, Smile Design Specialist, Laser Dentistry Specialist and Sleep Apnea Management Specialist

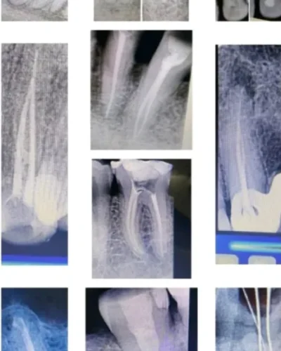
Endodontic Treatments (Root Canal & Re-Root Canal Therapy)

Root Canal Therapy

Endodontic Treatments (Root Canal & Re-Root Canal Therapy)

Toothache can be excruciating – but tooth extraction isn’t your only option. Root canal therapy removes infection and preserves your natural tooth, and with Dr. Shreya, a trusted Endodontist in Noida, patients receive advanced and compassionate care.

State-of-the-Art Treatment with Dr. Shreya:

Advantages

01

Relief from pain and infection

02

Preserve your natural smile

03

Long-term protection

Opening Hours

Mon to Sun 10:30AM to 8:30PM

Scroll to Top